Dr. med. dent. Tatjana Knego ugledna je stomatologinja s dugogodišnjim iskustvom u području holističke dentalne medicine, protetike i estetskih zahvata, koja svojim pacijentima pomaže da zubi i usna šupljina budu zdravi, a osmijeh prirodno lijep. U svojoj šestoj kolumni za Cover Style otkriva kako holistički pristup dentalnoj medicini može doprinijeti zdravlju cijelog organizma te koje su najvažnije smjernice za dugotrajno i sigurno održavanje oralnog zdravlja…
Zdravo tretirati zube – a ne samo općenito organizam – postalo je trend, ali i odlično osvještenje pacijenata. Važno je da ono što radimo sami ili zajedno s doktorom dentalne medicine bude dugoročno korisno, a da istovremeno rješavamo postojeće probleme.
Pacijenti se danas često susreću s marketinškim bombardiranjima i brojnim internetskim savjetima o tome što je dobro, a što nije. U svemu tome lako je izgubiti orijentaciju i ne znati što zapravo odabrati.
Pogledajte ovu objavu na Instagramu.
Prije petnaestak godina otišla sam u Švicarsku na edukaciju iz holističke dentalne medicine. Prvotno sam bila iznenađena jer holistički pristup značajno drugačije promatra terapije i sanacije zubi u odnosu na ono što nas uče fakulteti, klasične edukacije i što reklamne kampanje u dentalnoj industriji promoviraju.
Taj trenutak promijenio je moj način razmišljanja, rada i savjetovanja pacijenata. Jesu li me od tada učinili potpuno holističkim doktorom dentalne medicine, tzv. biodentistry dentist? Ne u potpunosti – oko 90%. Neki zahvati koje holistička medicina preporučuje još su previše radikalni i nisu potpuno znanstveno dokazani.
Zbog toga pacijenti trebaju s rezervom pristupati radikalnim procedurama koje se povremeno pojavljuju u medijima, poput vađenja svih devitaliziranih zubi ili ugradnje isključivo keramičkih implantata. Iako titanij je biokompatibilan, keramički implantati imaju ograničenja, posebno kod protetskih nadomjestaka, a cijena im je izrazito visoka.

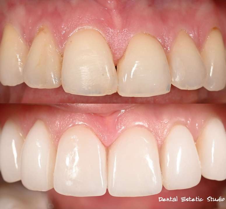
Već prije edukacije u Švicarskoj upozoravala sam medije na amalgamske plombe zbog otpuštanja žive. Pisala sam i o prednostima porculanskih ljuskica koje su biokompatibilne, minimalno invazivne, te rješavaju probleme poput boje, oblika i položaja zubi.
Holistička edukacija omogućila mi je da dublje sagledam bio-aspekte svih dentalnih postupaka, što danas primjenjujem u radu s pacijentima.
Kako nastojati da se vaši zubi saniraju zdravo
1. Amalgamske plombe – Ako ih imate, zamijenite ih. U ordinaciji koristimo koferdam i snažno usisavanje kako bismo zaštitili organizam od žive. Teški metali danas su povezani s autoimunim bolestima i drugim zdravstvenim problemima. Preporučuje se biorezonanca za procjenu teških metala i njihovo čišćenje, a pomoć mogu pružiti helati poput algi chlorella.
2. Bijele kompozitne plombe – Potpuno su zamjena za amalgamske plombe, ali trebaju biti kvalitetne i BPA-free, bez TEGDMA.
3. Metali u protetici – Danas se preporučuje bezmetalna protetika, koju zubno meso bolje prihvaća. Isto vrijedi i za ortodontske aparatiće – keramičke bravice su poželjne i kod djece.
4. Implantati – Titanski implantati trebaju biti kvalitetni i od poznatih proizvođača. Jeftini implantati nisu ušteda, nego rizik za zdravlje.
Higijena zubi i usne šupljine
Pasta za zube – Osnovno sredstvo higijene zubi, jezika i usne šupljine. Preporučuju se bio ili polu-bio paste: bez fluora, SLS-a, parabena i umjetnih konzervansa. Za remineralizaciju cakline koristi se hidroksiapatit, koji je siguran i potiče obnovu cakline. Primjeri: Himalaya, Dr. Bronner’s, Tom’s, Biorepair Total Protect, Marvis, Aurezzi, Theodent 300.
Tablete za četkanje – Praktične i učinkovite, posebno s visokim udjelom hidroksiapatita.
Fluor – Danas se ne preporučuje kod djece; hidroksiapatit je sigurnija alternativa.
Dezinfekcija usne šupljine – Holistička medicina ne preporučuje stalnu upotrebu vodica za usta jer uništavaju dobre bakterije. Umjesto toga, koristite kokosovo ulje ili lagano utrljavanje sitnom morskom soli u gingivu prije spavanja.

Probiotici za usnu šupljinu – Balansiraju odnos dobrih i loših bakterija, pomažu kod zadaha i održavaju zdravlje zubi i desni. Preporučujemo Oralbiotics tvrtke Golden Tree.
Male, svakodnevne promjene u higijeni i tretmanu zubi mogu imati veliki utjecaj na zdravlje, a istovremeno doprinose očuvanju cijelog organizma. Holistički pristup dentalnoj medicini znači brigu za zube i cijelo tijelo – na dugoročno zdrav i prirodan način.
![]()
Pripremila: Dr med dent Tatjana Knego
DENTAL ESTETIC STUDIO d.o.o
web: www.ordinacijaknego.hr
Instagram: dentalesteticstudio_dr_knego


